夏バテ予防に注意!酸が歯を溶かす⁉
暑い日は
さっぱりした食べ物が
欲しくなりますよね

酢の物や炭酸飲料
スポーツドリンクなど
「酸」の多い食事が
歯を傷つけているかもしれません
今回は
夏バテ予防と「歯の酸しょく症」の
意外な関係について
対策と一緒に
わかりやすく解説します!
皆さんの生活の
助けになれたら嬉しく思います
ぜひ、チェックしてみてください!
目次
⒈酸しょく症ってなに?
ー酸しょく症と虫歯の違いとは?
⒉酸性の食べ物が歯に与えるダメージ
ー飲み物の酸性度がわかる表
⒊気づきにくい?酸しょく症の初期サイン
⒋歯を守る!食べ方とタイミングの工夫
ー酸性以外で夏バテに効く食べ物
⒌まとめ
★「虫歯」について
こちらのブログからチェック
★「歯周病」について
こちらのブログからチェック
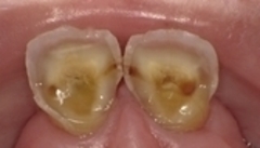
⒈酸しょく症ってなに?
「酸しょく症」とは
酸によって歯の表面にある
エナメル質が溶けてしまう状態です

エナメル質は
白く透明感がありますが
溶けてくると
内側の象牙質が透けて
黄色くなってきます

酸しょく症になった歯は
コーティングがなくなるため
しみる症状が
出てくることもあります
酸しょく症と虫歯の違いとは?
酸しょく症は
食べ物や飲み物に含まれる「酸」で
歯が溶ける状態です
虫歯と違って
細菌は関係しないため
酸しょく症は
食生活が変化すれば
誰でも起こりうる病気です

見た目は
虫歯のように黒くならず
透明感が失われ
黄ばみが目立つようになります

着色による黄ばみと
似たような見た目になるため
歯科医院で
チェックしてもらうのがオススメです
⒉酸性の食べ物が歯に与えるダメージ
酢の物・レモン
炭酸飲料・スポーツドリンクなどは
pHが低く、口に入ると
歯を溶かしてしまいます

エナメル質が
溶け始めるpHは「5.5」
これ以下になると、
酸しょく症のリスクが高まります
pHが「4.0」以下になると
解ける速度は
さらに加速すると言われています
【飲み物の酸性度表】
|
コーラ
|
2.2
|
|
スポーツドリンク
|
3.3
|
|
オレンジジュース
|
3.7
|
|
ヨーグルトドリンク
|
3.9
|
|
酢
|
3.1
|
|
ワイン
|
3.8
|
|
ビール
|
4.3
|
|
麦茶
|
6.1
|
|
水
|
7.0
|
対して
お口の理想的なpHは「6.2~7.6」
唾液のpHがこの範囲にあると
歯の再石灰化(ダメージの修復)が進みます

⒊気づきにくい?酸しょく症の初期サイン
主な酸しょく症のサインは
以下の3つです
①歯がしみる・冷たいものに弱くなった
②歯が黄ばんで見える・先が透ける
③歯がすり減って短くなった感じがする
知覚過敏の症状が出ますが
歯ぐきが下がっているのが原因ではなく
酸しょく症は
エナメル質が溶けていることで起こります

歯の黄ばみや、削れたりする症状が
一緒に起こるのが特徴です
初めは
ほとんど症状はなく
削れてから発覚することが多いため
気づきにくい病気なのです
酸しょく症にならないために
梅干しや酢の物など
夏バテ予防に役立つ食材は
「量」や「摂り方」で
工夫をしましょう

習慣的に
酸性のものを摂るのは控えたり

中性に早く戻せるよう
歯磨きや水で流すようにする

外出先では
キシリトールガムを利用するなど

知っておくだけで歯を守れますよ
⒋歯を守る!食べ方とタイミングの工夫
酸っぱいものは
「短時間で食べる」
「習慣的に食べない」
「水で口をゆすぐ」
などの工夫が大切です
歯磨きは
強すぎると歯が削れてしまうため
ブラッシングの力にも気をつけて
食べたらすぐに行いましょう

就寝前の
酸っぱい飲み物は
ついうっかり
そのまま寝てしまうことも…

危険なのでやめましょう
夏バテ予防ができるのは
酸性の食べ物だけではありません
夏バテ予防になる
食べ物を紹介します!
酸性以外で夏バテに効く食べ物
① ビタミンB群が豊富な
「豚肉・大豆製品」
疲労回復ビタミンと呼ばれるビタミンB1は、
夏のだるさに最適です

【おすすめ】
冷しゃぶ、納豆、豆腐のサラダ、味噌汁
② 水分+ミネラルがとれる
「スイカ・きゅうり・枝豆」

水分補給と一緒に
カリウムやマグネシウムも摂取できます
③ たんぱく質をしっかり!
「卵・魚・鶏むね肉」


体力低下しやすい夏に不可欠なのが
タンパク質です
【おすすめ】
オムレツ、焼き魚、蒸し鶏
④ 発酵食品で腸と免疫をサポート
「ヨーグルト・キムチ・味噌」


夏場は冷たいものをとりがちで
腸内環境が乱れやすいです
ヨーグルト、キムチ、味噌などの発酵食品は
免疫強化に良いです
きゅうりに
味噌をつけて食べるのも
美味しいですよ!

夏バテを防ぐために
酸性のものを摂ることも大切ですが
やり過ぎてしまうと
「酸」の取りすぎで
歯にダメージを与える可能性もあります
食べ方やタイミングを
少し意識するだけで
歯の健康を守りながら
夏を快適に過ごすことができますよ!

「しみる」
「歯が透けてきた」など
気になることがあれば
ぜひお気軽にご相談くださいね♪

以上です
てらむら歯科では
定期的な検診・クリーニングをお勧めしております
歯の健康=全身の健康です
2025年08月04日 09:00